סורק דיגיטלי לשיניים

בעידן של היום, הטכנולוגיה והחדשנות המאפיינות את עולם רפואת השיניים, משפרות ללא הרף את חווית המטופל ולוקחות את עניין הטיפול כמה צעדים קדימה. בחזית המהפכה הדיגיטלית הזו עומד סורק השיניים הדיגיטלי, מכשיר יוצא דופן ששינה את הדרך בה אנו תופסים את האבחנות והבדיקות הנעשות בחלל הפה. לא עוד בדיקות מסורבלות ומדי פעם לא נוחות, אלא […]
תאונות ספורט ותאונות קורקינט

שברים בשיניים כתוצאה מתאונות ספורט או תאונות דרכים הן תופעה שכיחה שאינה זוכה למודעות מספקת. בין אם מדובר בתאונות קורקינט חשמלי – אמצעי תחבורה שהפך לפופולרי במיוחד בשנים האחרונות – או בתאונות ספורט בענפי הכדורסל והטניס, ההשלכות על בריאות השיניים עלולות להיות חמורות. ד”ר גלעד פיסקוס, רופא שיניים מוביל בתחומו, פיתח שיטת טיפול ייחודית וחדשנית, […]
ציפוי חרסינה לשיניים (למינייט)

חלום החיוך המושלם בהישג ידך! בעידן שבו האסתטיקה משחקת תפקיד מרכזי בכל תחום, חיוך זוהר ובריא הוא לא רק סממן לבריאות אלא גם כרטיס הביקור שלך. ציפויי חרסינה לשיניים (למינייט) הם פתרון מהיר, יעיל ומתקדם לשדרוג החיוך ולהשגת מראה טבעי והרמוני. נסביר על התהליך, יתרונותיו, למי הוא מתאים וכל מה שצריך לדעת לפני קבלת ההחלטה. […]
אסתטיקה דנטלית

החיוך שלנו הוא כרטיס הביקור שלנו. שיניים לבנות ושלמות הן שיניים שכיף להתגאות בהן ולהראות אותן לעולם. כאשר השיניים שחורות, שבורות או לא מחמיאות, אנו חווים פגיעה באיכות החיים ובביטחון העצמי. את המצב נוכל לשנות בעזרת שלל טיפולי אסתטיקה. טיפולים אסתטיים משלימים בהמשך לטיפולי השיניים האסתטיים , ישנו טיפול משלים להורדת פיגמנטציה בחניכיים. ישנם פציינטים […]
כתרים ללא מתכת

כתרים ללא מתכת – זירקוניה ואימקס חלק מהשיניים שעברו טיפולי שורש צריכים לקבל כיסוי של כתר המשחזר את השן המקורית. הסיבה העיקרית בשיניים אחוריות היא הגנה של השן מפני שבר ושיחזור צורתו הטבעית כדי שיוכל לתפקד. בשיניים קידמיות חלק מהשיניים שעברו טיפול שורש משנות את גוון השן ומאפירות והכתר נועד לתקן את הפגם האסתטי. האתגר […]
טיפולים משקמים – שתלים

שתלים דנטליים לשיניים וטיפולים משקמים שתלים דנטליים הוא המענה הטכנולוגי המתקדם ביותר לאנשים אשר איבדו את שיניהם הטבעיות ( חלקן או כולן ). שתל הוא למעשה בורג מטיטניום, שנעגן בתוך העצם כמו יתד ועליו אפשר להרכיב כתרים שישקמו את הפה. ד”ר גלעד השתלם בשנת 2009 במעבדות חברת זימר בשוויץ , ומאז ביצע מאות השתלות. הפרוצדורה […]
כתרי זירקוניה

חלק מהשיניים אשר עברו טיפולי שורש צריכות לקבל כיסוי. כתר המשחזר את השן המקורית יהיה הפתרון. הסיבה העיקרית להוספת הכתר היא הצורך להגן על השן מפני שבר ויצירת שחזור של הצורה הטבעית כדי שהשיניים יוכלו להמשיך לתפקד. נוסף לכך, חלק מהשיניים שיעברו טיפול שורש ישנו את הגוון שלהן ויהפכו לאפורות. הדבר גורם למפגע אסתטי, בעיקר […]
שיקום מורכב על שתלים

השתלות שיניים במרפאת ד”ר גלעד פיסקוס – למה לבחור דווקא בנו? אם אתם מחפשים השתלת שיניים איכותית, הבחירה ברופא הנכון היא קריטית להצלחת הטיפול ולתוצאות שיחזיקו לאורך שנים. בשוק קיימות מרפאות רבות שבהן אינכם יודעים מי הרופא המטפל, מהו הוותק שלו, רמת הניסיון והידע שלו. אצל ד”ר גלעד פיסקוס, רופא שיניים בעל ניסיון של מעל […]
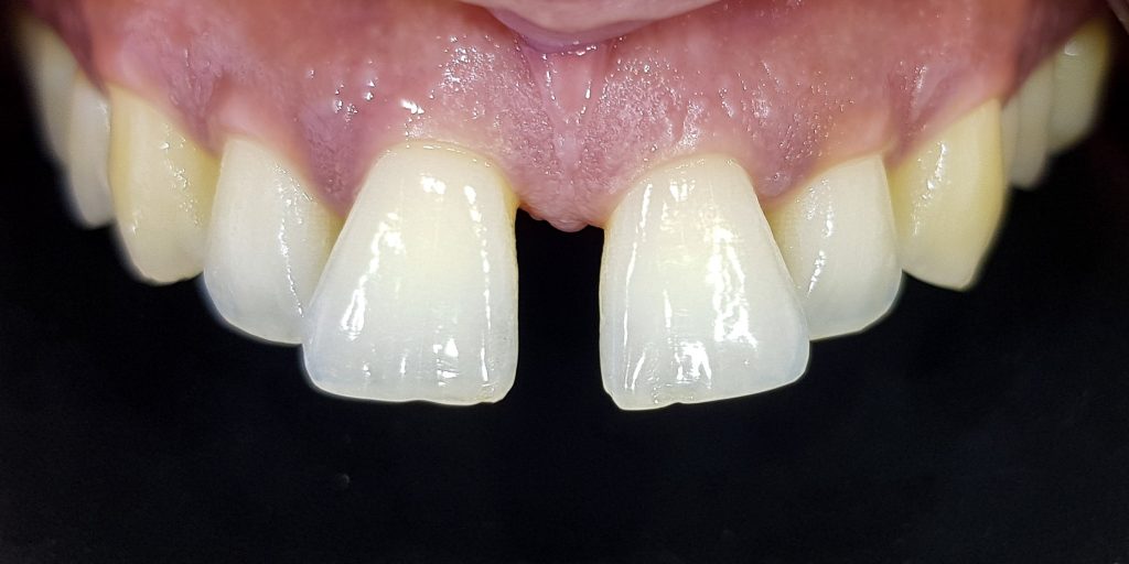
סגירת רווחים בין השיניים עם ציפויי חרסינה

סגירת רווחים בין השיניים עם ציפויי חרסינה: סגירת רווחים בין השיניים עם ציפויי חרסינה מהווה פתרון מתקדם ואסתטי למי שמעוניין לשפר את מראה החיוך בצורה טבעית ועמידה. ציפויי חרסינה מסוג Emax מאפשרים להשיג מראה אסתטי ומדויק, תוך שמירה על עמידות גבוהה לאורך זמן, והם הבחירה המועדפת על מומחים רבים בתחום האסתטיקה הדנטלית. ד”ר גלעד פיסקוס […]
אחריות על טיפולים דנטליים במרפאה

במרפאתנו אנו מתחייבים לשירות מקצועי, מתקדם ומותאם אישית, ומבינים את החשיבות של שמירה על התוצאות לאורך זמן. האחריות על טיפולים דנטליים ניתנת בכפוף להנחיות התחזוקה ולשמירה על הרגלי היגיינה נאותים מצד המטופל. להלן פירוט האחריות על ציפויי חרסינה Emax, ציפויי קומפוזיט (ציפוי קריסטל), שתלים דנטליים ותהליך הלבנת שיניים, כולל דגש על חשיבות שימוש בסד לילה […]
הלבנת שיניים עמוקה

החיוך שלכם הוא כרטיס הביקור הראשון שאתם מציגים לעולם, ואין כמו שיניים לבנות וזוהרות כדי להשאיר רושם בלתי נשכח. במרפאה של ד”ר גלעד פיסקוס, אחד הרופאים המובילים בארץ בתחום האסתטיקה הדנטלית, פותחה טכנולוגיה ייחודית להלבנת שיניים עמוקה, באמצעות סדים קשיחים. התוצאה? חיוך טבעי, בוהק ובריא, שיישמר לאורך זמן מהי הלבנת שיניים עמוקה? הטכניקה הייחודית שפיתח […]
בניית שיניים קדמיות עם חומר קומפוזיטי – פתרון אסתטי מהיר ולא יקר

שימוש בחומרי קומפוזיט בתחום רפואת השיניים נחשב לאחת השיטות הנפוצות ביותר לשיפור אסתטיקת הפה. קומפוזיט הוא חומר סינתטי, למעשה זה החומר שעושים איתו סתימות לבנות ומאפשר ל ד״ר גלעד פיסקוס, לשחזר את המראה והצורה של השיניים הטבעיות בצורה מדויקת. החומר מתאים במיוחד למצבים אסתטיים שונים ומאפשר לשפר את מראה החיוך תוך שמירה על בריאות השיניים […]
שן חלבית אצל מבוגרים

כשהשן החלבית לא נושרת – והחיוך נשאר ילדותי. יש לא מעט מבוגרים שאצלם נשארה “שן חלבית” – קטנה, לא סימטרית, ולעיתים פוגעת במראה הכללי של החיוך. אבל היום יש פתרון מהיר, אסתטי ופשוט – ציפוי חרסינה עדין שמחזיר את הסימטריה והביטחון לחיוך, כבר אחרי שני טיפולים בלבד. בתוכנית “טבעי שתחייכו” ד”ר גלעד פיסקוס […]
מנשך פתוח

כך מתקנים מנשך פתוח אצל מבוגרים – בלי ניתוח ובלי כאב ד"ר גלעד פיסקוס מסביר הכל בסרטון – טבעי שתחייכו:
טיפול בפגמנטציה בחניכיים

טיפול עדין ומהיר להסרת פיגמנט שחור בחניכיים – תוצאות כבר מהטיפול הראשון רוצים לראות איך זה מתבצע? לחצו לצפייה ,ד״ר פיסקוס מסביר על התהליך בסרטון חניכיים שחורות – גורמים ופתרונות פיגמנטציה בחניכיים היא תופעה הנגרמת בדרך כלל מהצטברות של פיגמנט מלנין ברקמות החניכיים. פיגמנט המלנין נמצא באופן טבעי בעור, בשיער ובחניכיים, במיוחד אצל אנשים […]
ציפוי קריסטל לשיניים (קומפוזיט)

ציפוי קריסטל לשיניים, הידוע גם כציפוי קומפוזיט, הוא פתרון מתקדם ואסתטי המשמש לתיקון פגמים בשיניים וליצירת חיוך מושלם. מדובר בטכניקת שיקום אסתטית פופולרית שמציעה יתרונות רבים כמו התאמה אישית, תוצאות מהירות ומחיר נגיש יותר בהשוואה לציפויי חרסינה. במאמר זה נפרט על היתרונות והחסרונות של ציפוי קריסטל, ונבדוק כיצד הטיפול מתאים לצרכים השונים של מטופלים. מהו […]
ציפוי לשיניים (למינייט)

ציפויי שיניים מחרסינה – כל מה שרציתם לדעת! הרבה מאוד אנשים בכל העולם, חולמים על חיוך לבן בריא וזוהר, חיוך של מיליון דולר. כיום בעזרת ציפויי חרסינה לשיניים, אפשר להגשים את החלום הזה. ציפויי למינייט מאפשרים לחייך בביטחון ומכל הלב. מטופלים שהדבקתי להם ציפויי חרסינה לשיניים חוזרים על אותו משפט מבלי שתאמו זאת ביניהם. ” […]
שיניים כלואות: איך זה קורה וכיצד ניתן לטפל?

שיניים כלואות – כך תזהו ותטפלו בהן ביעילות ובקלות שיניים כלואות הן תופעה שבה שן אחת או יותר לא מצליחה לבקוע במלואה דרך החניכיים. תופעה זו שכיחה בעיקר בשיני בינה וניבים, אך יכולה להתרחש בכל שן בלסת. שיניים כלואות עלולות לגרום לכאב, לדלקות ולבעיות אסתטיות. למרבה המזל, קיימים מגוון פתרונות רפואיים, בהם טיפולים אורתודונטיים וכירורגיים, […]
רופא שיניים שיעביר לכם עם הפחד בטיפול

פחד מרופא שיניים הוא תופעה שכיחה המשפיעה על אנשים בכל הגילאים, ולעיתים אף מונעת מהם לגשת לטיפולים חיוניים לבריאות הפה. אבל זה לא חייב להיות ככה! עם הגישה הנכונה והרופא המתאים, אפשר להפוך את חוויית הטיפול לידידותית, רגועה ואף נטולת פחד. אם גם אתם מרגישים כך, הגיע הזמן למצוא רופא שיניים מומלץ למי שמפחד מטיפולים […]
תהליך יישור שיניים ללא גשר

יישור שיניים הוא תהליך שמטרתו לסדר את מבנה השיניים, לשפר את האסתטיקה וליצור חיוך סימטרי ובריא. בעבר, האפשרות היחידה להשגת שיניים ישרות הייתה באמצעות גשר מתכת קבוע, אך כיום קיימות שיטות חדשניות ליישור שיניים ללא גשר, המאפשרות תוצאה מושלמת בלי לפגוע באסתטיקה של הפנים. אם גם אתם מתעניינים ביישור שיניים עקומות בצורה דיסקרטית ונוחה, המדריך […]
מרפאה טכנולוגית ומתקדמת בראשון לציון

עולם רפואת השיניים מתקדם במהירות, וכיום ניתן ליהנות מטיפולים מתקדמים, מדויקים ונוחים יותר מאי פעם. מרפאה טכנולוגית מציעה שילוב בין מומחיות רפואית, טכנולוגיות מתקדמות ושיטות טיפול חדשניות, שהופכות את חוויית הטיפול לנעימה ומדויקת יותר. אם אתם מחפשים טיפולי שיניים בראשון לציון, אתם מוזמנים לבקר במרפאה שלנו, המשלבת ציוד מתקדם, חומרי גלם איכותיים וצוות מקצועי שמעניק […]
כל המידע על כתרי זירקוניה

כאשר נדרש שיקום לשן פגועה, בחירת החומר לכתר היא חשובה. כתרי זירקוניה הפכו לפתרון המועדף על מטופלים ורופאי שיניים, בזכות השילוב בין אסתטיקה, חוזק והתאמה אישית מדויקת. אך כמו בכל שיטה, לצד היתרונות, קיימים גם שיקולים שכדאי לקחת בחשבון. מייד נבדוק מהם כתרי זירקוניה לשיניים, כולל יתרונות וחסרונות, כדי שתוכלו לקבל החלטה חכמה וליהנות משיקום […]
איך מתקנים שיניים שבורות?

שן שבורה עלולה לגרום לאי נוחות, לפגוע באסתטיקה ולגרום לבעיות רפואיות אם היא אינה מטופלת בזמן. בין אם מדובר בשבר קטן או בשן שניזוקה באופן משמעותי, קיימים מגוון פתרונות מתקדמים לתיקון השיניים ולהחזרת המראה והתפקוד שלהן. אז איך מתקנים שיניים שבורות? מיד נסקור את הסיבות לשברים בשיניים והשיטות המובילות לשיקום הפה. למה שיניים נשברות ומה […]
שיקום הפה לאחר השתלות

השתלות שיניים הן פתרון מצוין לכל מי שרוצה להחזיר לעצמו את החיוך והתפקוד התקין של הפה. אבל ההשתלה עצמה היא רק הצעד הראשון – השלב הבא והחשוב לא פחות הוא שיקום הפה לאחר השתלות, הכולל התאוששות, טיפולים משלימים ושמירה על התוצאה לאורך זמן. אם אתם מתכננים לעבור השתלה או כבר התחלתם בתהליך, המאמר הזה בדיוק […]
כל מה שצריך לדעת על סוגי שתלים דנטליים

השתלות שיניים הפכו לפתרון פופולרי עבור מי שסובל מחוסר שיניים ורוצה ליהנות מחיוך מלא ובריא לאורך שנים. אבל רגע לפני שמתחילים את התהליך, חשוב להבין שישנם סוגי שתלים דנטליים שונים, שכל אחד מהם מתאים למצבים רפואיים ייחודיים. בחירה נכונה יכולה להשפיע על הצלחת ההליך, משך ההחלמה ועמידות התוצאה לטווח הרחוק. מייד נסקור את הסוגים הנפוצים […]
גשר שקוף לשיניים למראה אסתטי בתהליך

חיוך יפה וישר הוא לא רק עניין של אסתטיקה, אלא גם של בריאות ושיפור הביטחון העצמי. אם בעבר יישור שיניים היה מלווה בסמכים מתכתיים בולטים, הרי שהיום קיימים פתרונות מתקדמים המאפשרים להשיג תוצאה מושלמת – מבלי להתפשר על המראה. גשר שקוף הוא אחת השיטות החדשניות ביותר ליישור שיניים בצורה נוחה ודיסקרטית. אם אתם מחפשים פתרון […]
איך למנוע חריקת שיניים בשינה אצל מבוגרים?

חריקת שיניים היא תופעה נפוצה המתרחשת בעיקר בזמן השינה. רבים אינם מודעים לכך שהם סובלים ממנה עד שהם מתחילים לחוות תסמינים שונים. חריקת שיניים בשינה אצל מבוגרים עלולה להוביל לנזק לשיניים וללסת, ולכן חשוב לזהות אותה מוקדם ולנקוט בצעדים כדי למנוע אותה. מיד נסביר מהם הגורמים לתופעה, כיצד לזהות אותה ואילו פתרונות קיימים כדי לשמור […]
כמה זמן מחזיק כתר זירקוניה בשיניים?

כתרי זירקוניה נחשבים לפתרון איכותי ועמיד לשיקום השיניים, אך השאלה המרכזית היא – כמה זמן מחזיק כתר זירקוניה? התשובה תלויה במספר גורמים, כגון שמירה על היגיינת הפה שלכם, איכות ההתקנה והרגלי הלעיסה שלכם. בדרך כלל, כתרי זירקוניה יכולים להחזיק מעמד בין 10 ל-15 שנים ואף יותר, במידה והם מתוחזקים היטב. חשוב להקפיד על צחצוח נכון, […]
מה משפיע על עלויות של סתימות בשיניים?

כאשר אתם מחפשים טיפול לשיקום השיניים, אחת השאלות הנפוצות היא כמה עולה סתימה לבנה. עלות הסתימה מושפעת ממספר גורמים, כמו גודל החור בשן, מיקום השן בפה וחומרי הסתימה בהם משתמש הרופא. סתימות קטנות לרוב יעלו פחות מאשר סתימות גדולות או מורכבות יותר. בנוסף, מיקום השן משחק תפקיד משמעותי מכיוון שסתימה בשיניים אחוריות עשויה להיות יקרה […]
שיטת אינויזליין לשיניים

שיטת אינויזליין לשיניים היא טכנולוגיית יישור שיניים מתקדמת המשתמשת בקשתיות שקופות ומתאימות אישית כדי ליישר את השיניים בהדרגה. בניגוד לגשרים מתכתיים מסורתיים, אינויזליין מציעה פתרון נוח, דיסקרטי ואסתטי, המתאים במיוחד למבוגרים ובני נוער שרוצים לשפר את מראה החיוך מבלי להתפשר על הנוחות. אחת הסיבות העיקריות להצלחת השיטה היא האפשרות להסיר את הקשתיות בזמן האכילה והצחצוח, […]
איך מתבצעת סגירת רווח בשיניים?

רווחים בין השיניים יכולים להוות בעיה אסתטית ולעיתים גם פונקציונלית, ולכן רבים מחפשים פתרון לסגירת רווחים בשיניים. קיימות מספר שיטות לטיפול ברווחים, בהתאם לחומרת הבעיה ולצרכי המטופל. אפשרות אחת היא שימוש בציפויי חרסינה או קומפוזיט, שמסייעים למלא את הרווחים במהירות עם תוצאה אסתטית מושלמת. לחלופין, ניתן לבצע יישור שיניים באמצעות גשר או קשתיות שקופות כמו […]
סד לילה לטיפול בשחיקת השיניים

שחיקת שיניים היא תופעה נפוצה שעלולה לגרום לכאבים, רגישות בשיניים, בעיות חניכיים ואפילו נזק לשכבת האמייל. אחד הפתרונות היעילים למניעת שחיקת שיניים הוא שימוש בסד לילה. זהו מכשיר דנטלי שקוף ומותאם אישית, אשר נועד למנוע את החיכוך בין השיניים העליונות והתחתונות במהלך השינה. סד לילה מסייע בהפחתת הלחץ המופעל על השיניים, מונע כאבי לסת ומסייע […]
הלבנת שיניים מהירה

הלבנת שיניים מהירה אצל רופא השיניים היא אופציה מצוינת עבור אנשים המחפשים תוצאות מידיות ומורגשות. הליך הלבנה זה בקליניקה מבוצע על ידי רופא שיניים מיומן ולוקח בדרך כלל כשעה להשלמתו. ההליך כרוך במריחה של ג'ל הלבנה בריכוז גבוה על השיניים, עליו מוקרן המוקרן בשני תדרי אור. שימוש בג'ל זה, המכיל חומרים פעילים שמפרקים את הפיגמנט […]
מנשך פתוח (Open Bite)

מנשך פתוח (Open Bite) הוא מצב שבו השיניים הקדמיות בלסת העליונה והתחתונה אינן נפגשות כראוי בעת סגירת הפה. מצב זה יוצר רווח גלוי בין השיניים הקדמיות, המשפיע על מראה החיוך, התפקוד התקין של הפה ולעיתים גם על הביטחון העצמי של המטופל. אחד הגורמים המרכזיים למנשך פתוח הוא מציצת אצבע ממושכת. הרגל זה, שנפוץ בקרב ילדים […]
מה זה חוסר מולד בשיניים וכיצד ניתן לטפל בו?

חוסר מולד בשיניים, או בשמו המקצועי Hypodontia, הוא מצב שבו אחת או יותר מהשיניים הקבועות אינן מתפתחות. מדובר בתופעה שכיחה יחסית, המשפיעה על כ-5-7% מהאוכלוסייה, כאשר השכיחות גבוהה יותר בקרב נשים. במקרים חמורים יותר, המצב נקרא אוליגודונטיה, שבו חסרות יותר משש שיניים, או אנודונטיה, מצב נדיר ביותר שבו כלל השיניים אינן מתפתחות. מהם הגורמים לחוסר […]
אינוויזילין יישור שיניים בקשתיות שקופות

אינוויזילין (Invisalign) הוא טיפול אורתודונטי חדשני המיועד ליישור שיניים באמצעות קשתיות שקופות הניתנות להסרה, במקום להשתמש בסמכים (ברזלים) מתכתיים מסורתיים. הטיפול באינוויזילין מציע פתרון אסתטי, נוח ודיסקרטי ליישור השיניים. איך עובד טיפול אינוויזילין: 1.הערכה ותכנון דיגיטלי – ד״ר גלעד פיסקוס מבצע סריקה תלת-ממדית של השיניים שלך. נשלח ישירות לאינוויזילין ארה״ב . בעזרת תוכנה מיוחדת, נבנה […]
הרדמה ממוחשבת

עבור רבים, עצם המחשבה על ביקור אצל רופא השיניים מעלה תמונות של מחטים ואי נוחות, מה שהופך את החרדה הדנטלית לנפוצה מאד. עם זאת, הנושא של הטיפול בכאב ברפואת שיניים התפתח באופן דרמטי, והוביל לעידן של חדשנות יוצאת דופן לצורך יצירת נוחות רבה יותר אצל המטופל. הרדמה ממושבת, גישה חדשנית שהגדירה מחדש את הדרך בה […]
ציפויי חרסינה לשיניים מחיר

המחיר של ציפויי חרסינה לשיניים בעבודת יד מושפע ממספר גורמים התורמים לעלות הכוללת של הליך אסתטי זה. ציפויי חרסינה בעבודת יד מיוצרים בהתאמה אישית למבנה השיניים וההעדפות האסתטיות הייחודיות של כל מטופל, מה שגורם לרוב לעלות גבוהה יותר בהשוואה לציפויים מוכנים מראש או לציפויים אחרים שאינם עשויים מחרסינה. המורכבות והדיוק הכרוכים ביצירת כל ציפוי בנפרד […]
נעילת שיניים

נעילת שיניים, או הידוק שיניים, היא בעיה דנטלית בעלת השלכות לא פשוטות על הסובלים ממנה. מצב זה כרוך בנעילת שיניים לא רצונית ומוגזמת, המתרחשת בדרך כלל במהלך שינה או בתקופות של לחץ. הבעייתיות שבה הם מצבים לא רצויים, שהיא עשויה לגרום להם, כגון שחיקה של אמייל השן ואפילו שברים וסדקים בשיניים. בתחום האסתטיקה הדנטלית, טיפול […]
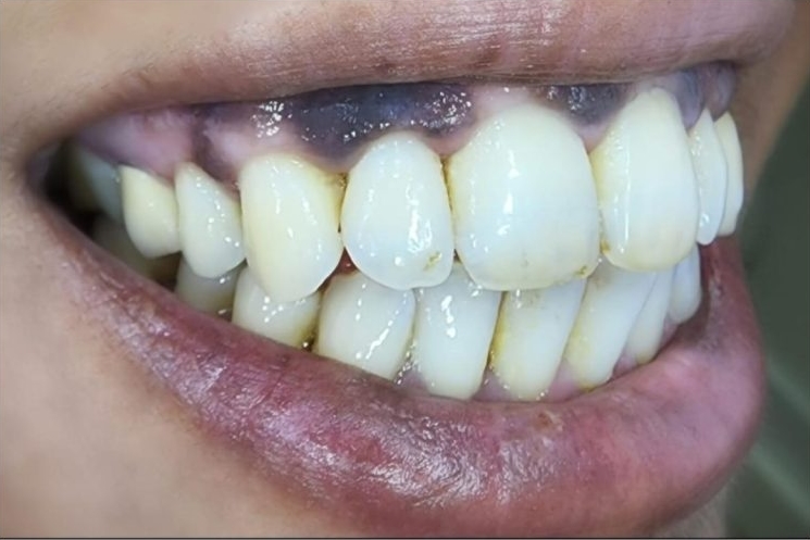
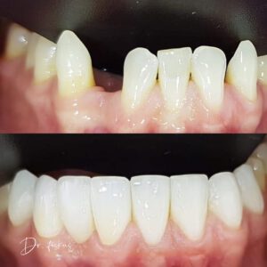
הסרת כתמים מהחניכיים

היפרפיגמנטציה של החניכיים, המאופיינת לרוב בכתמים כהים או שחורים, יכולה להיות מקור לבעיות רבות, הקשורות בעיקר למודעות עצמית ולדאגה אסתטית, במיוחד עבור אנשים עם חיוך שופע שחושף את קו החניכיים שלהם, אנשים שנמצאים פעמים רבות בחזית הבימה. בעוד שחניכיים היפרפיגמנטיות אינן מהוות איום רפואי או סכנה בריאותית כלשהי, המראה שלהן יכול להשפיע באופן משמעותי על […]
טיפול בדלקת חניכיים

דלקת חניכיים, לרוב הסימן הראשון למחלת חניכיים, יכולה להטיל צל על בריאות השיניים שלכם ועל החיוך הזוהר והחיוני. אבל אל חשש, כי המסע לחניכיים בריאות יותר וחיוך יפה יותר מתחיל באבחון דלקת החניכיים והטיפול בה. יש היום כמה שיטות טיפול שונות במקרים של דלקת חניכיים והמודעות לכך רבה, אפילו בקרב המטופלים הצעירים. בין אם שמתם […]
מחיר הלבנת שיניים

מחיר הלבנת שיניים יכול להשתנות במידה ניכרת בהתאם לגורמים שונים, לרבות השיטה הנבחרת, מיקום מרפאת השיניים, מורכבות המקרה וצרכי המטופל ומטרותיו. באופן כללי, ניתן לראות בעלויות הלבנת שיניים כהשקעה במראה ובביטחון העצמי של האדם. הלבנת שיניים מקצועית בקליניקה נוטה להיות יקרה יותר משיטות עשה זאת בעצמך או בבית, אך היא מציעה מספר יתרונות ברורים, כולל […]
מיגרנה כתוצאה מנעילת שיניים

כאבי ראש כתוצאה ממיגרנה יכולים להיות מתישים ולהשפיע רבות על היום יום, של הסובלים מהם. מכאבים אלה סובלים מיליוני אנשים ברחבי העולם, נשים גברים, צעירים וגם מבוגרים והם יכולים לבוא לידי ביטוי בתצורות שונות, כולל גם בחילות, הקאות ועוד. בעוד שגורמים שונים יכולים לעורר מיגרנות, מתעלמים לעתים קרובות מגורם מפתיע אחד לכאבי הראש הקשים הללו: […]
הלבנת שיניים לפני ואחרי

הלבנת שיניים לפני ואחרי היא שינוי מדהים שיכול לשפר את המראה הכולל ולהעלות את הביטחון העצמי. לפני שעוברים הלבנת שיניים, אנשים חווים לעתים קרובות שינוי צבע בשיניים מסיבות שונות, כמו גיל, הרגלי תזונה, עישון או תרופות מסוימות. שינוי צבע זה יכול להוביל לחיוך פחות יפה ולתחושה אישית לא נעימה. אולם, לאחר טיפול הלבנת שיניים מקצועי […]
חריקת שיניים בלילה

חריקת שיניים בלילה, המכונה ברוקסיזם, היא תופעה נפוצה שבה נתקלים רופאי השיניים, המשפיעה באופן משמעותי על בריאות הפה והרווחה הכללית. תופעה זו כרוכה בשחיקה בלתי רצונית, הידוק או חריקת שיניים במהלך השינה. ברוקסיזם יכול לגרום לבעיות שונות, כולל שחיקת שיניים, שברים, סדקים בשיניים ואפילו הפרעות במפרק הטמפורמנדיבולרי, הגורם לכאבי לסת ולכאבי ראש. מעבר להשפעות הדנטליות […]
חרדה דנטלית

היא יכולה להופיע בכל גיל, אצל ילדים וגם אצל מבוגרים. היא יכולה להופיע אצל גברים וגם אצל נשים, אצל כאלה המנוסים בטיפולי שיניים רבים ואצל כאלה שכלל לא. חרדה דנטלית יכולה לשתק ולגרום להימנעות במצבים של בעיות חניכיים או שיניים, פשוטות וקלות כאחת. עם זאת, המסע לחיוך בריא יותר ולשיניים יפות וחיוניות לא חייב להיות […]
חיוך של מיליון דולר: כל מה שרציתם לדעת על הלבנת שיניים לחתונה

בתוך שורה של הכנות אינסופיות לקראת החתונה, אפשר למצוא בשנים האחרונות את הלבנת השיניים. הליך רפואי קליל, המאפשר לחתן ולכלה לחייך בפה מלא לאורך יום הצילום המפרך, הנהוג לפני מסיבת החתונה. אם גם אתם מתכוננים ליום צילומים וחשוב לכם להציג חיוך נוצץ מושלם ביום החתונה שלכם, כדאי שתכירו את האפשרויות העומדות בפניכם, כפי שמציג אותן […]
כל האמת מאחורי ציפויי חרסינה לשיניים

מה זה ציפויי חרסינה, ואיך זה מתבצע? ציפויי חרסינה – Laminates, הן קליפות חרסינה דקות, בעובי ממוצע של 0.5 מ"מ, המודבקות על כל שן בנפרד, לאחר הסרה מינימלית משכבת האימאל שבקדמת השן בלבד. הטיפול מיועד לשיפור נראות השיניים והחיוך. אנשים רבים חולמים על חיוך מנצח, חיוך לבן, הרמוני, בריא וטבעי. בעשור האחרון רפואת השיניים קפצה מדרגה […]
מה הסיבות שמצריכות שיקום שיניים ואיך ניתן לעשות זאת?

הצורך בשיקום שיניים מתעורר לרוב בגיל השלישי, כשהשיניים אינן מחזיקות מעמד. הסיבות לכך יכולות להיות רבות, אבל הצורך הוא זהה – פיתרון שיאפשר איכות חיים, ויהיה בריא ופרקטי במקביל. אז איך עושים את זה נכון? קיימים שיקולים רבים כיצד לבחור את אופן שיקום השיניים הנכון. אנחנו חשופים במדיה להמון פרסומות שונות, חלקן לשיניים תותבות, להשתלות […]
שבעה טיפים לחיוך מנצח

צחצוח שיניים פה נקי מחיידקים ושאריות אוכל, הוא פה בריא יותר ויפה יותר. חיידקים נמצאים בחלל הפה באופן תמידי, ואם לא נסיר אותם פעמיים ביום הם מתרבים בתוך יום לכמות של מיליארדים ונצמדים על פני שטח השן ברובד הקרוי- פלאק. מעבר לכך , שהם גורמים לעששת ( חורים בשיניים ) ולדלקות חניכיים, רובד החיידקים נוטה […]