שחזורים אחוריים וסתימות לבנות
הפתרון האסתטי והבריא לשיקום השיניים הטוחנות!
מהם שחזורים אחוריים ולמה הם חשובים?
שחזורים אחוריים הם הליך הכרחי לשיקום שיניים טוחנות שנפגעו מעששת, שחיקה או טראומה. בעבר, הטיפול הנפוץ כלל שימוש בסתימות אמלגם המכילות עופרת וכספית, אשר ידועות בהשפעתן המזיקה לבריאות. כיום, במרפאת ד”ר גלעד פיסקוס, אנו שמים דגש על חומרים 100% טבעיים וללא חומרים מזיקים, כדי להעניק למטופלים פתרון אסתטי ובריא לאורך זמן.
למה לבחור בסתימות לבנות?
✔ אסתטיקה מושלמת – הסתימות הלבנות משתלבות בצורה טבעית עם צבע השן, ומאפשרות חיוך נקי ואחיד ללא כתמים כהים.
✔ שמירה על הבריאות – ללא חומרים מסוכנים כמו עופרת או SLS, שמסכנים את בריאות הגוף ומעודדים דלקות חניכיים.
✔ עמידות גבוהה – השחזורים מחזיקים לאורך שנים רבות בזכות חומרים מתקדמים וטכנולוגיות חדשניות.
✔ התאמה מדויקת – באמצעות סורק דיגיטלי מתקדם, המטופלים יכולים לראות את הבעיה בעצמם ולהבין את הצורך בטיפול.
החשיבות של חומרים טבעיים ללא עופרת וכספית
כיום ידוע כי מתכות רעילות כמו עופרת וכספית הנמצאות בסתימות אמלגם עלולות להשפיע לרעה על הגוף, לגרום להרעלת מתכות ולפגוע במערכת החיסונית.
ד”ר גלעד פיסקוס מאמין בגישה טבעית ונקייה, ולכן משתמש בחומרי קומפוזיט מתקדמים שמבטיחים הגנה מקסימלית לחניכיים ולשיניים, ללא פשרות.
תהליך הטיפול המתקדם במרפאת ד”ר פיסקוס
במרפאתנו משתמשים בטכנולוגיות מהמתקדמות בעולם, הכוללות:
- סריקה דיגיטלית תלת-ממדית – המטופל יכול לראות בזמן אמת את מצבה של השן ואת התוכנית לשחזור.
- טיפול מהיר ויעיל – בזכות מיומנות הצוות והטכנולוגיה המתקדמת, הטיפול מתבצע במהירות ובדיוק מרבי.
- חומרים איכותיים – סתימות לבנות עשויות מחומרים ביולוגיים מותאמים לרגישויות ולדלקות חניכיים.
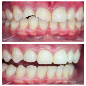
דוגמאות:
שלבי ביצוע שחזור אחורי ושיקום השן:
- בדיקה ואבחון – סקירה מעמיקה של מצב השיניים בעזרת סורק דיגיטלי.
- הסרת החומר הפגוע – ניקוי עדין של השן תוך שימור המרקם הבריא.
- הנחת חומר הסתימה – שימוש בחומר קומפוזיט טבעי ואיכותי להתאמה מדויקת. תוך שימוש בטכנולוגיית הריפוי האור הכחול U
- ליטוש והתאמה סופית – יצירת מבנה חלק ומדויק המאפשר תפקוד אופטימלי.
- מעקב וביקורת – הבטחת תוצאה עמידה עם אחריות לשנתיים.
כמה עולה סתימה לבנה?
- עלות סתימה לבנה במרפאת ד”ר פיסקוס נעה בין 850 – 1,200 ₪, בהתאם לגודל השחזור ולמורכבות המקרה.
- בנוסף, ניתנת אחריות למשך שנתיים, עם אפשרות לבדיקה תקופתית ולביצוע התאמות במידת הצורך.
למי מתאימים שחזורים אחוריים עם סתימות לבנות?
- אנשים הסובלים מרגישות לשיניים.
- מטופלים עם דלקות חניכיים חוזרות.
- כל מי שמעוניין באסתטיקה טבעית ובבריאות פה מיטבית.
- אנשים המעוניינים להימנע מחשיפה לחומרים מזיקים כמו עופרת וכספית.
מה ההבדל בין סתימה לבנה לשחזור מלא?
סתימה לבנה מתמקדת בטיפול נקודתי באזורים שנפגעו בעששת,
בעוד ששחזור מלא כולל בנייה של השן מחדש באמצעות חומרים עמידים ופתרונות מותאמים אישית, כגון שחזור ONLAY מתקדם המעניק תוצאה אסתטית ועמידה לאורך שנים.
למה לבחור במרפאת ד”ר פיסקוס?
מרפאתנו מציעה שילוב נדיר של ניסיון, טכנולוגיה מתקדמת ושירות אישי.
ד”ר גלעד פיסקוס והצוות המיומן מעניקים לכל מטופל יחס חם ומקצועי, תוך שימוש בפתרונות החדשניים ביותר בתחום רפואת השיניים.!
לקביעת תור ולייעוץ צרו קשר >






