טיפול בפגמנטציה בחניכיים

תוכן עניינים

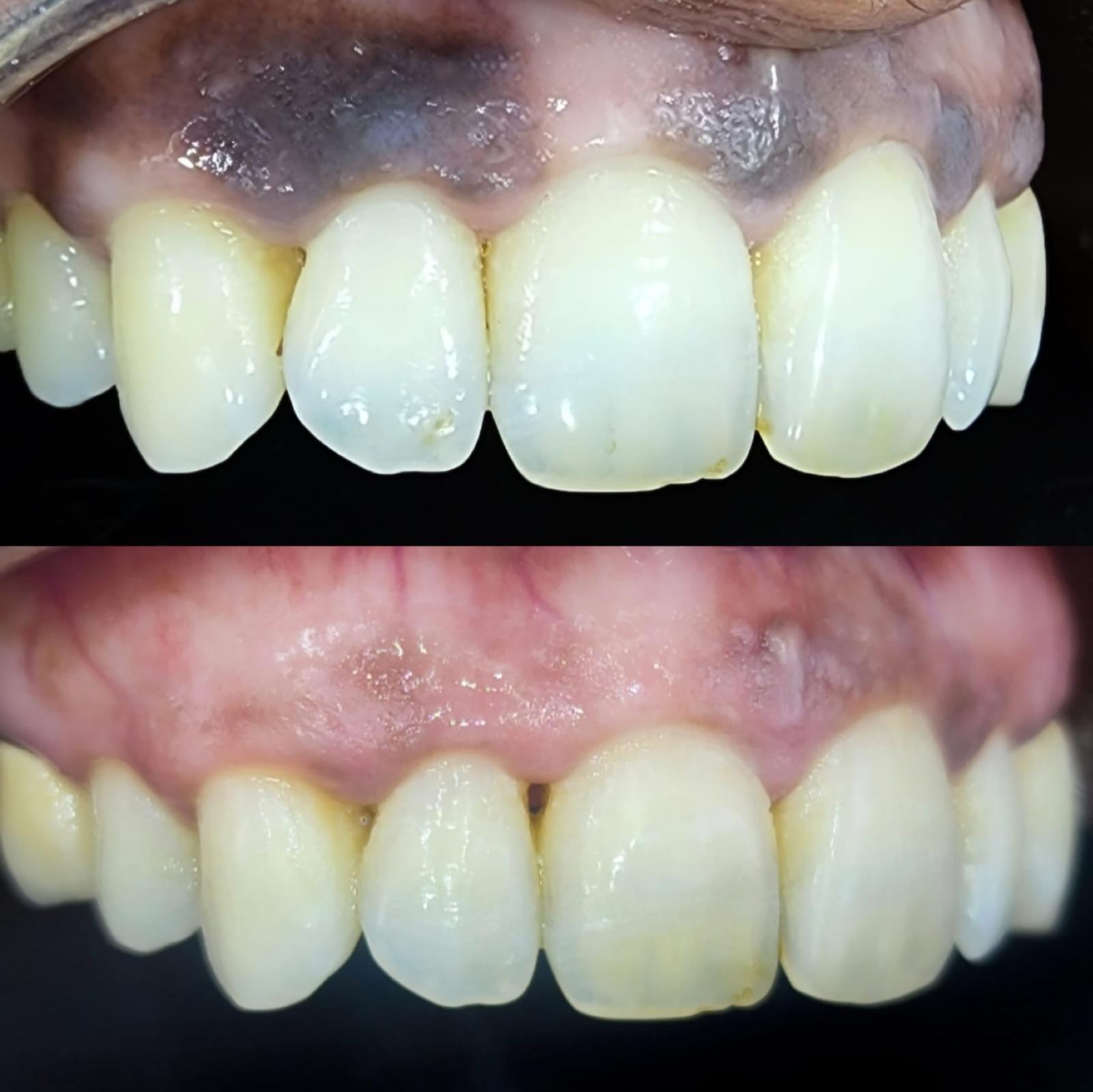
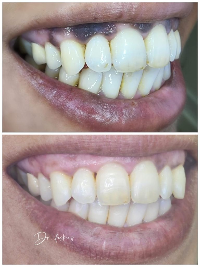
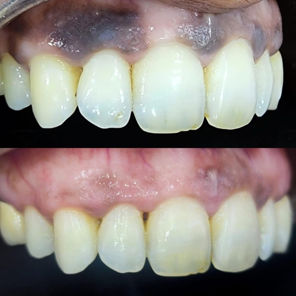
טיפול עדין ומהיר להסרת פיגמנט שחור בחניכיים – תוצאות כבר מהטיפול הראשון
רוצים לראות איך זה מתבצע? לחצו לצפייה ,ד״ר פיסקוס מסביר על התהליך בסרטון

 

חניכיים שחורות – גורמים ופתרונות

פיגמנטציה בחניכיים היא תופעה הנגרמת בדרך כלל מהצטברות של פיגמנט מלנין ברקמות החניכיים. פיגמנט המלנין נמצא באופן טבעי בעור, בשיער ובחניכיים, במיוחד אצל אנשים בעלי גוון עור כהה יותר, ולכן המצב נפוץ בעיקר בקרב אוכלוסיות אלו. למרות שהפיגמנטציה בחניכיים אינה מהווה סכנה בריאותית, היא עלולה להשפיע על הביטחון העצמי ועל האסתטיקה של הפה והחיוך.

למזלנו, קיימת כיום שיטה יעילה לטיפול בבעיה זו, שפותחה על ידי ד”ר גלעד פיסקוס.

הטיפול מהיר, נטול כאבים, ומאפשר למטופלים ליהנות מתוצאה מיידית של חניכיים ורודות ויפות. זמן הטיפול אורך כ-15 דקות בלבד, וההחלמה מהירה וללא תופעות לוואי.

מיקרו-כירורגיה להסרת פיגמנטציה מהחניכיים

המיקרו-כירורגיה היא תהליך עדין וממוקד להסרת פיגמנטציה מהחניכיים. מדובר בפרוצדורה הדורשת מיומנות וניסיון רב, ולכן חשוב שתבוצע על ידי רופא שיינים מקצועי בתחום כמו ד”ר גלעד פיסקוס. תהליך זה נחשב לא רק לבטוח ואפקטיבי אלא גם לפתרון אסתטי, במיוחד כאשר מדובר בפיגמנטציה עמוקה או נרחבת.

 

תהליך טיפול בחניכיים שחורות

הכנה לפני הטיפול

  • בדיקה מקדימה: לפני ביצוע ההליך, הרופא מבצע בדיקה יסודית של מצב החניכיים, להערכת עומק הפיגמנטציה והיקפה.
  • תכנון ההליך: במהלך הפגישה הראשונית, ד”ר פיסקוס יסביר את התהליך לפרטי פרטים, יענה על כל שאלה ויספק למטופל את כל המידע הדרוש להכנה להליך.

ההליך הכירורגי

  • אלחוש מקומי: ההליך מתחיל בהרדמה מקומית של האזור המטופל, על מנת להבטיח שהמטופל לא יחוש כאב במהלך הטיפול.
  • הסרת רקמת החניכיים הפיגמנטית: בשלב זה, הרופא משתמש בכלים כירורגיים עדינים ביותר להסרת שכבה דקה של רקמת החניכיים שבה מצוי הפיגמנט המלניני. התהליך דורש דיוק רב כדי למנוע פגיעה ברקמות הבריאות שסביב האזור המטופל.
  • עיצוב מחדש של החניכיים: במידת הצורך, ד”ר פיסקוס עשוי לעצב מחדש את קווי החניכיים כדי להשיג מראה אחיד, אסתטי והרמוני יותר.

שלב ההתאוששות

  • החלמה מהירה וללא סיכונים: זמן ההחלמה לאחר הטיפול קצר מאוד, ולרוב אינו מלווה בתופעות לוואי.
  • תוצאה מיידית: מיד לאחר הטיפול, ניתן לראות את השינוי – החניכיים הופכות ורודות, אסתטיות ונטולות פיגמנטציה שחורה.

 

להחזיר את הברק לחיוך ״– טיפול מהפכני להבהרת חניכיים כהות בשיטה של ד”ר גלעד פיסקוס :

בהסתמך על ניסיון של מעל 30 שנה, ד”ר גלעד פיסקוס פיתח שיטה ייחודית להבהרת חניכיים כהות – ללא כאב, ללא תחושת אי נוחות, עם תוצאות שנשמרות לשנים!

✔️ תוצאה מיידית – רואים חניכיים ורודות ובריאות כבר מהטיפול הראשון!
✔️ החניכיים מחזירות אור ורעננות לפנים – מראה חיוני ואסתטי שמשדרג את החיוך.
✔️ טיפול לא מורגש ולא כואב – חוויית טיפול נוחה וידידותית.
✔️ זמן החלמה מהיר – ניתן לחזור מידית לשגרה.
✔️ התוצאה מחזיקה לשנים רבות – שיפור ארוך טווח ללא צורך בתחזוקה מתמשכת.
✔️ עלות משתלמת ביחס לתמורה – מחיר החל מ-1,950 ש”ח לכל קטע טיפולי.
✔️ הביטחון חוזר במיידי – לא מפסיקים לחייך!

השיטה הייחודית של ד”ר פיסקוס מעניקה תוצאות מושלמות תוך זמן קצר – הגיע הזמן שתיהנו מחיוך מושלם!

 

הבהרת פיגמנטציה בחניכיים שיטה מהפכנית של ד״ר גלעד פיסקוס:

 

 

 

תוכן עניינים

חפש באתר:

לקוחות ממליצים

המרפאה של ד״ר גלעד פיסקוס

יעוץ אישי שמתחיל בהקשבה

דיוק ותכנון נכון.

מלאו פרטיכם וניצור קשר בהקדם:

מידע נוסף לעיונכם: