דלג לתוכן
074-745-2323
עמוד הבית
אודות
מרפאת השיניים של ד"ר פיסקוס
תעודות
שירותי המרפאה
הלבנת שיניים – Lumi White
ציפויי חרסינה / Emax
כתרי חרסינה זירקוניה
סד לילה – Dream🌙Guard
אינוויזיליין – יישור שיניים שקוף
השלמה / קומפוזיטית אסתטית
טיפול בדלקות חניכיים
תראו מי בחר לחייך אצלנו
לקוחות ממליצים
גלריה – הצגת מקרה
מידע מקצועי
שאלות ותשובות
מדברים עלינו בתקשורת
כתבות של ד”ר גלעד פיסקוס
מילון היופי
רדיו 102FM
צרו קשר
עמוד הבית
אודות
מרפאת השיניים של ד"ר פיסקוס
תעודות
שירותי המרפאה
הלבנת שיניים – Lumi White
ציפויי חרסינה / Emax
כתרי חרסינה זירקוניה
סד לילה – Dream🌙Guard
אינוויזיליין – יישור שיניים שקוף
השלמה / קומפוזיטית אסתטית
טיפול בדלקות חניכיים
תראו מי בחר לחייך אצלנו
לקוחות ממליצים
גלריה – הצגת מקרה
מידע מקצועי
שאלות ותשובות
מדברים עלינו בתקשורת
כתבות של ד”ר גלעד פיסקוס
מילון היופי
רדיו 102FM
צרו קשר
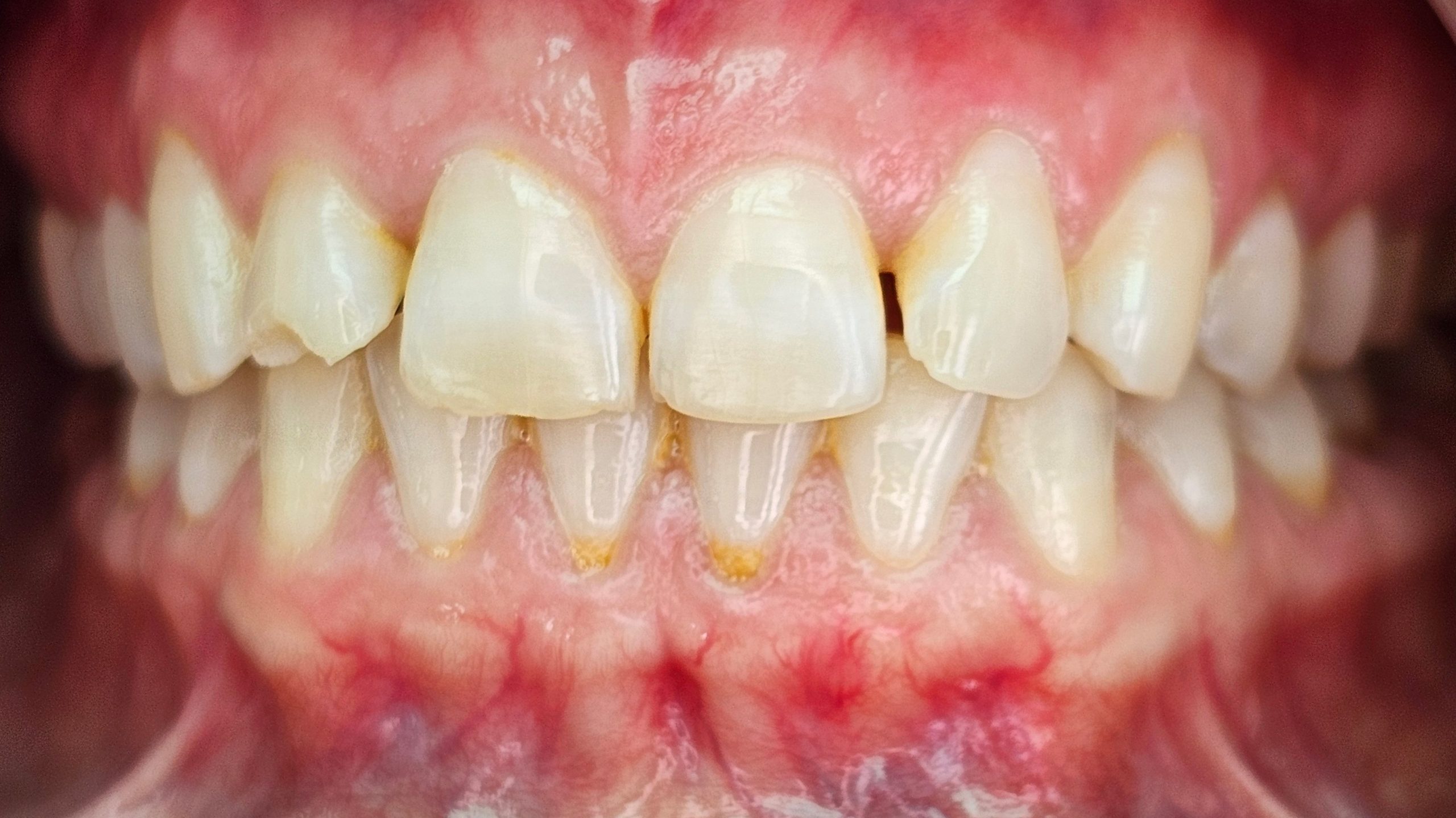
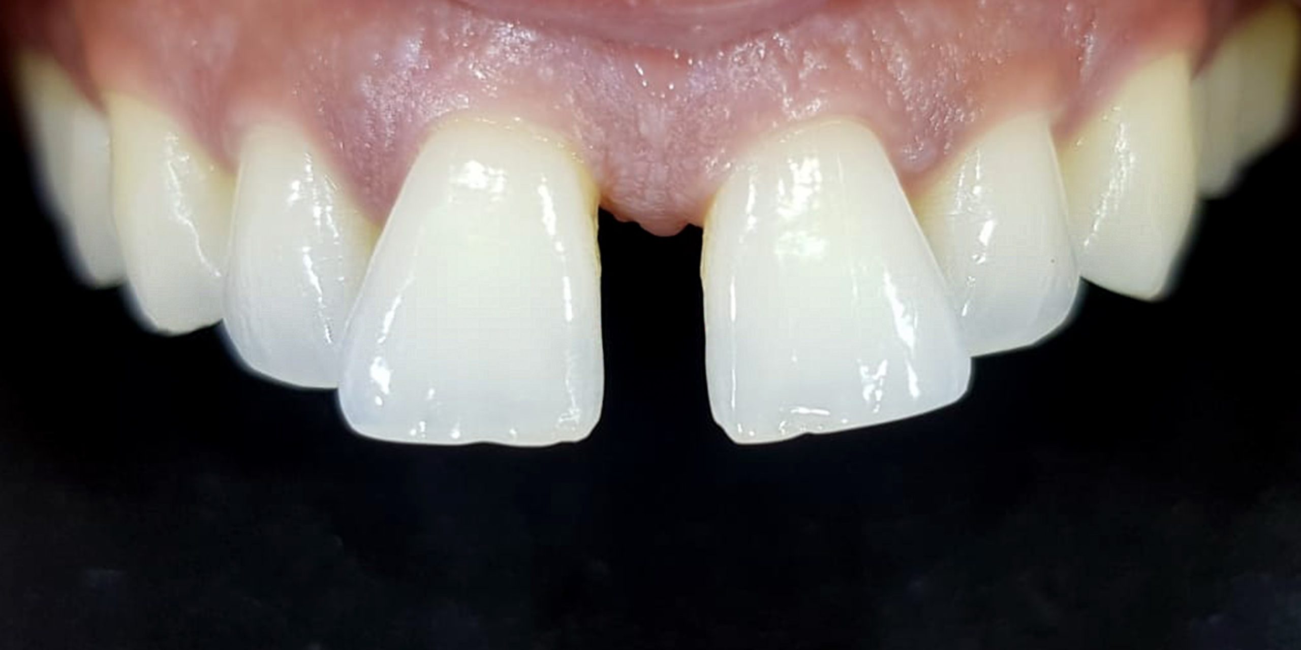
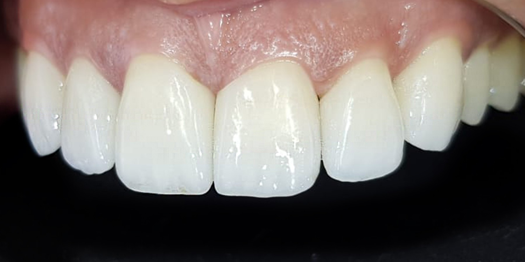
גלריה – סגירת מרווחים עם ציפויי חרסינה
דף הבית
»
גלריה – הצגת מקרה
»
גלריה – סגירת מרווחים עם ציפויי חרסינה