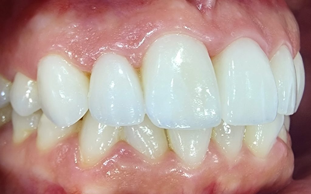
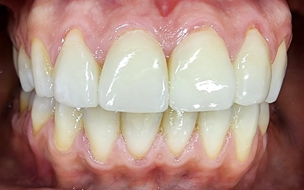
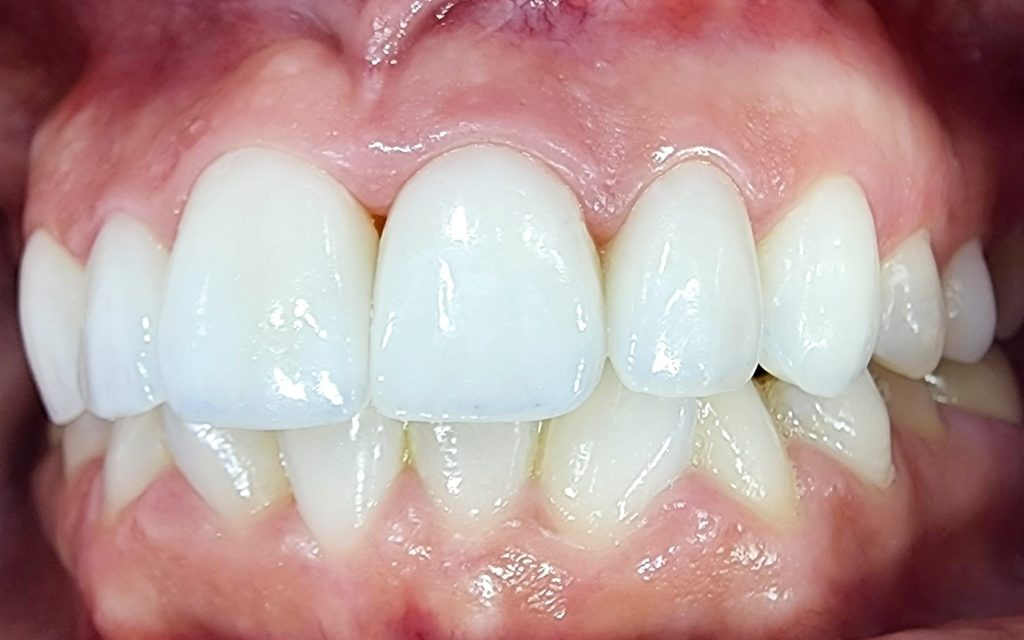
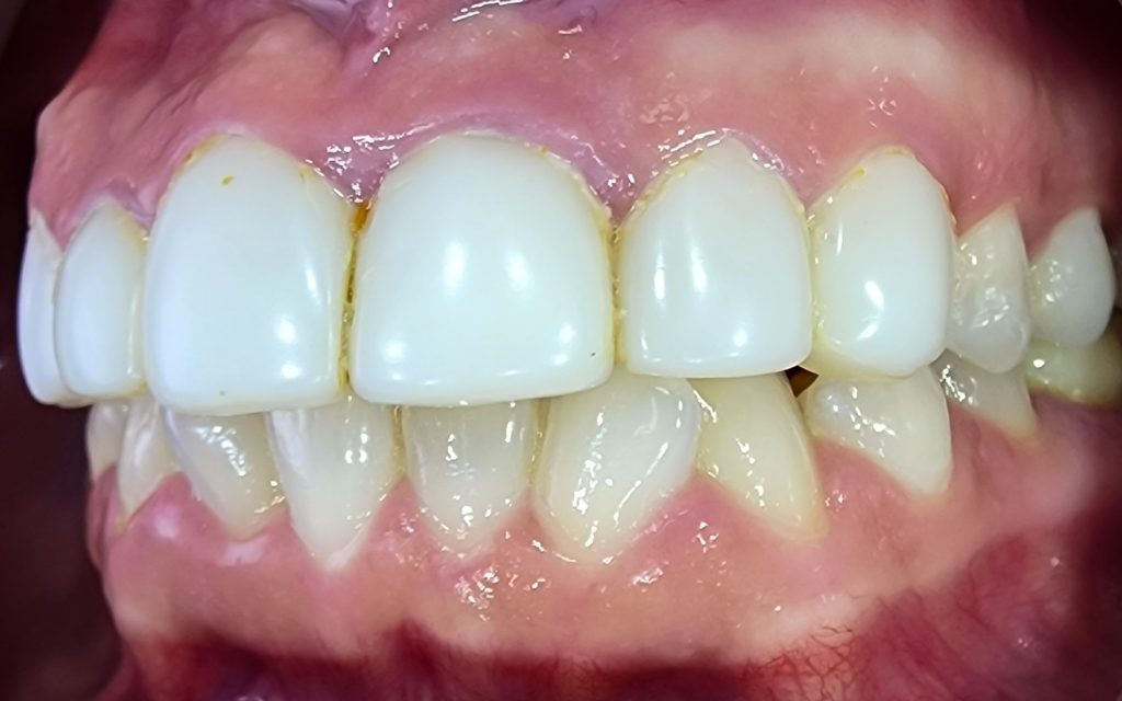
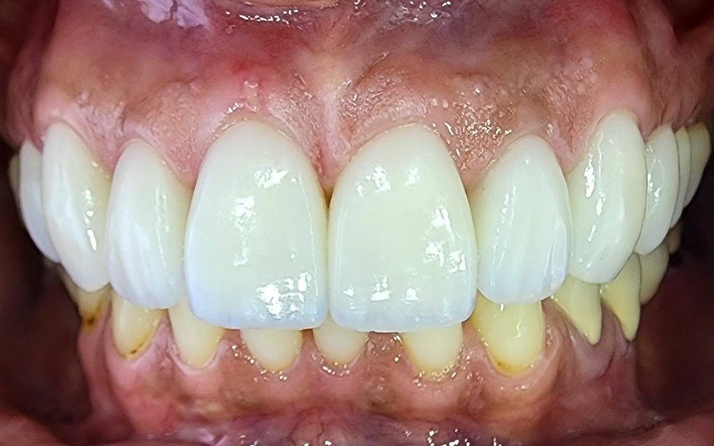
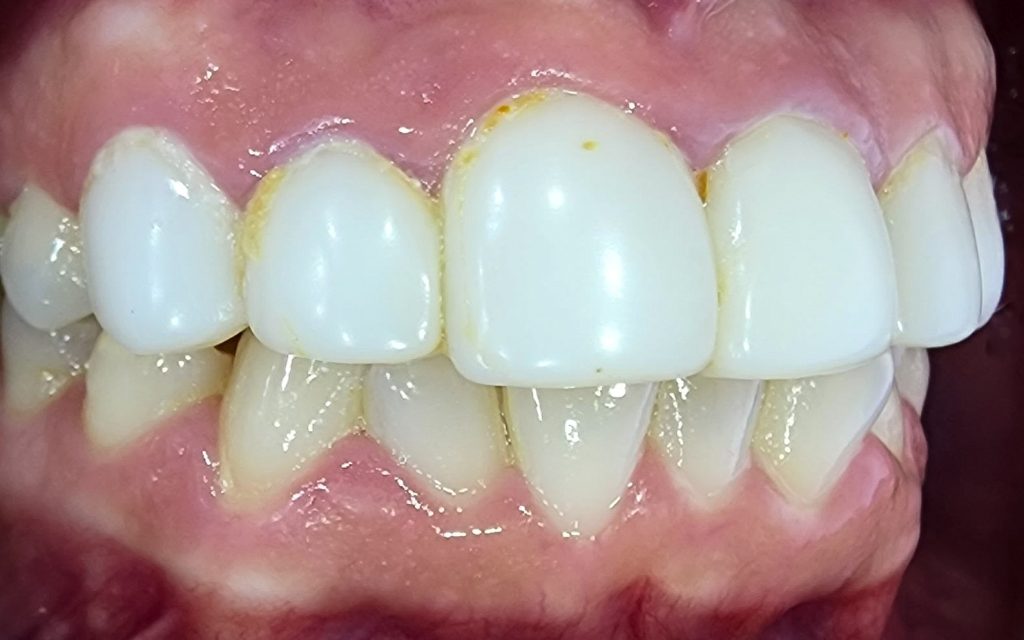
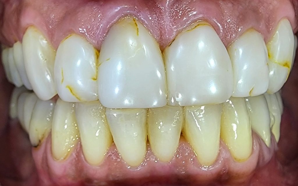
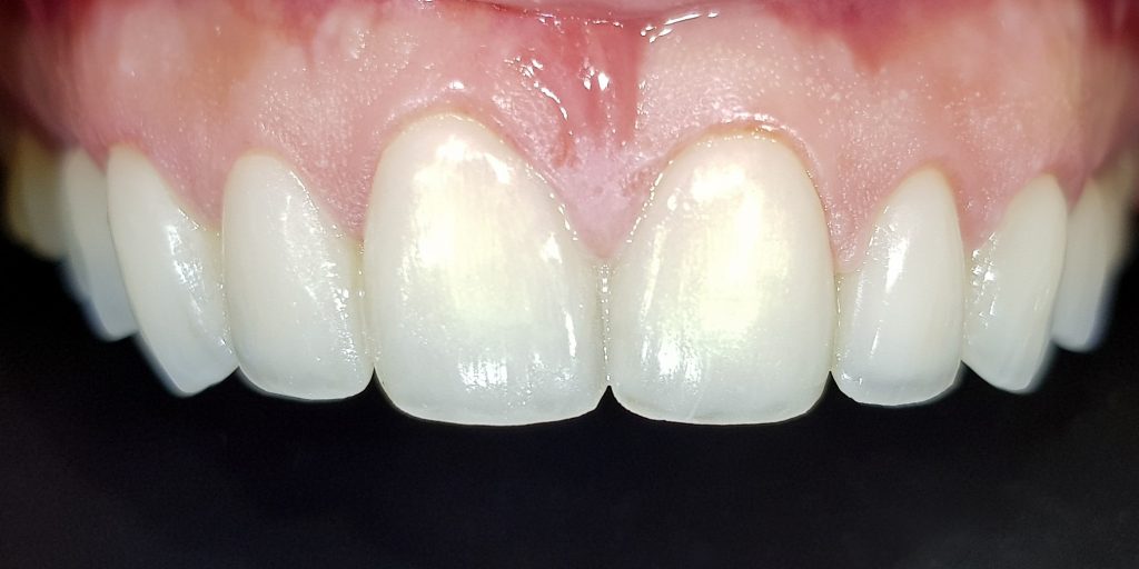
הדבקת ציפויי חרסינה או בשמו הלועזי ציפויי למינייט, דורשת מיומנות טכנית ורפואית מרובה, המון ניסיון, פרפקציוניזם וראייה אמנותית. מעבר הציפויי לחניכיים הוא מקום שמליוני חיידקים מצטברים, וגורמים לדלקת חניכיים, דימומים וכאבים. החניכיים נראות נפוחות ולא יפות.
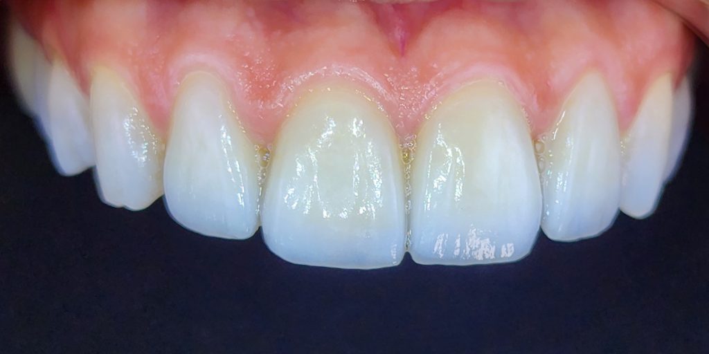
חובה להקפיד על בריאות החניכיים ולקבל תוצאה טבעית ויפה. המטרה להשיג חיוך יפה וזוהר בלי שיבחינו שהודבקו כאן ציפויי חרסינה. לכן אסור להתפשר בבחירת רופא השיניים.
התפשרות בדרך כלל בגלל עלויות כלכליות מובילה כמעט תמיד לעבודה כפולה ועלויות כפולות פעם משלמים בזול ובפעם השניה את המחיר הנכון כדי להחליף את ציפויי החרסינה.
חיוך טבעי, בריא, לבן ויפה הוא החתימה של ד”ר גלעד פיסקוס.